中文版  |   English  |   加入收藏  |   客服热线:400-0532-596
海博微信公众号
海博天猫旗舰店
培养基
所在位置:产品中心-> 弯曲杆菌检验培养基-> 萘啶酮酸纸片(30ug/片)

萘啶酮酸纸片(30ug/片)

英文名称:Nalidixic acid strip
产品货号:HB8708
产品规格:10片
产品价格:35元
保质期:一年
产品用途:用于空肠弯曲菌药敏试验
备  注:

产品介绍:

产品用途:用于空肠弯曲菌药敏试验。2-8℃,有效期一年。

萘啶酮酸的作用:

萘啶酮酸主要对革兰氏阴性菌有效,对大肠埃希氏菌、痢疾杆菌、伤寒杆菌及变形杆菌等,具抑 菌和杀菌作用。其作用机制是抑制细菌脱氧核甘酸的合成。

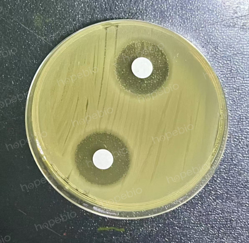
大肠杆菌在萘啶酮酸纸片上形成的抑菌圈


相关文章:

萘啶酮酸纸片的原理和使用方法 点击查看



萘啶酮酸纸片(30ug/片)相关产品:

产品货号产品名称产品规格产品说明及用途
HB0241 布氏肉汤
Brucella Broth
250g 用于弯曲杆菌增菌肉汤和布氏琼脂的制备(SN标准)
HB0242 改良Skirrow氏琼脂基础
Skirrow Agar Base ,Modified
250g 用于空肠弯曲杆菌的分离培养(GB、SN标准)
HB0243 改良Camp-BAP琼脂基础
Camp-BAP Agar Base,Modified
250g 用于弯曲杆菌的选择性分离培养(GB标准)
HB0244 TTC琼脂基础
TTC Agar Base
250g 用于弯曲杆菌的TTC试验
HB0245 甘氨酸培养基
Glycine Medium
250g 用于弯曲杆菌甘氨酸耐受性试验(GB标准)
HB0246 快速硫化氢试验琼脂
H2S Test Medium Agar
250g 用于空肠弯曲杆菌的快速硫化氢实验(GB标准)
HB0247 DNA酶甲基绿琼脂基础
Dnase Agar Base with Methyl Green
100g 用于弯曲杆菌的DNA酶水解试验(GB标准)
HBPM6232-2 MH琼脂培养基平板(羊血)(2-8℃)(9cm)
Mueller-Hinton Agar Medium Plate
9cm*10个/包 用于苛养菌的药敏试验
HBJ8725-1 含250ml Preston肉汤均质袋(双料)
250ml*10袋/盒 用于空肠弯曲菌的培养
HBJ8725-50 含50ml双料 Preston肉汤均质袋
50ml*10袋/盒 用于空肠弯曲菌的培养
HBJ8725-50a Preston肉汤添加剂(50ml双料用)
1ml*5支/盒 每支添加于HBJ8725-50含50ml双料 Preston肉汤均质袋
HBPT8725-1 双料Preston肉汤管(4ml)
4ml*20支/盒 用于空肠弯曲杆菌选择性增菌培养
HB9287 弯曲菌增菌液
Campylobacter Enrichment Broth
250g 用于食品中空肠弯曲菌和结肠弯曲菌的选择性增菌培养
HB9287a 弯曲菌增菌液抑菌剂
1ml*5支/盒 每支加入200mlHB9287弯曲菌增菌液中
HBPT9287 弯曲菌增菌液管(10ml)
10ml*20支/盒 用于食品中空肠弯曲菌和结肠弯曲菌的选择性增菌培养
HBPT9287-1 弯曲菌增菌液管(9ml)
9ml*20支/盒 用于食品中空肠弯曲菌和结肠弯曲菌的选择性增菌培养
HB0315 布氏琼脂
Brucella Agar
250g 用于弯曲杆菌的抗生素敏感性试验和纯化培养
HB0274 CCDA琼脂基础
CCDA Agar Base
250g 用于空肠弯曲杆菌的分离培养
HB0274a CCDA添加剂(冻干粉)
1ml*5支/盒 每支添加于200ml CCDA琼脂基础中
HB0275 Campy-Cefex琼脂基础
Campy-Cefex Agar Base
250g 用于弯曲杆菌的分离培养(FDA标准)
HB0275a Campy-Cefex添加剂
Campy-Cefex Supplement
2ml*5支/盒 每支添加于200mlCampy-Cefex琼脂基础中
HB0274-1 改良CCD琼脂基础(mCCD)
Modified Charcoal Cefoperazone Deoxycholate Agar
250g 用于空肠弯曲菌的分离培养
HB0273-1 Bolton肉汤
Bolton Broth
250g 用于空肠弯曲菌的选择性增菌培养(GB标准)
HB6232 Mueller-Hinton琼脂
Mueller-Hinton Agar
250g 用于微生物药敏试验
GB124 1%马尿酸钠
0.4ml*20支/盒 用于空肠弯曲菌马尿酸钠水解试验
HB0273-1a Bolton肉汤添加剂
Boltom Broth Additrive
1ml*5支/盒 每支添加于100ml Bolton肉汤中
HB8709 头孢菌素纸片(30ug/片)
Cephalosporin strip
10片/瓶 用于空肠弯曲菌药敏试验
HB0243a 改良Camp-BAP琼脂添加剂A
Modified Camp-BAP Agar additive A
1ml*5 添加于100ml改良Camp-BAP琼脂基础中
HB0243b 改良Camp-BAP琼脂添加剂B
Modified Camp-BAP Agar additive B
1ml*5 添加于100ml改良Camp-BAP琼脂基础中
HB0273-2a 波尔顿选择性增菌肉汤添加剂
Bolton Selective Enrichment broth additive
2ml*5 每支添加于225mlHB0273中
HB0274-1a 改良CCD琼脂添加剂
CCD Agar Additive
1ml*5 每支添加于200ml改良CCD琼脂中
1001339-1 脱纤维羊血
Off fiber sheep blood
50ml 每50ml脱纤维羊血添加于1000ml哥伦比亚血琼脂基础中
HB0242-1 改良Skirrow琼脂添加剂
Modified Skirrow Agar Additives
1ml*5支 每支添加于100ml改良Skirrow氏琼脂中
HB0242-2 FBP溶液
FBP Solution
1ml*5支 因此添加剂需要现配现用,现已停止销售
HB2100 氧化酶试纸
Oxidase Strips
10片 用于细菌的氧化酶试验
HB8703 吲哚醋酸酯纸片
20片/瓶 用于空肠弯曲菌吲哚醋酸酯水解试验
HBJ007 含100ml Bolton肉汤均质袋
10个/盒 用于空肠弯曲菌选择性增菌培养
HB8276 细菌蛋白胨
Bacterial Peptone
250g 用于培养基原材料,提供细菌生长所需的氮源和氨基酸
HB8725 Preston肉汤基础
Preston Broth Base
250g 用于空肠弯曲杆菌的选择性增菌
HBJ014a 布氏肉汤添加剂
Brucella Broth Additive
2ml*5支/盒 每支加入225ml布氏肉汤中
HB0273-2 波尔顿选择性肉汤
Bolton Broth
250g 用于空肠弯曲菌选择性增菌培养
HBJ0273-1a Bolton肉汤添加剂(含225ml液体均质袋使用)
2ml*5支 添加在HBJ0273-1中作为添加剂使用
HBPM6232 MH琼脂培养基平板(9cm)
Mueller-Hinton Agar Medium Plate
9cm*10个/包 用于弯曲杆菌的药物敏感性试验
HBPT8725 Preston肉汤管(15ml)
Preston Broth
15ml*20支 用于空肠弯曲杆菌的选择性增菌
最 新 产 品
 抗生素效价测定培养基G(EP标准)
 十六烷基三甲基溴化铵培养基(化妆品卫生规范)
 1%吐温80磷酸盐缓冲液(PBS)管(9ml)
 含1%吐温80和0.5%硫代硫酸钠的磷酸盐缓冲液(PBS)管(5ml)
 GA斜面管(中国兽药典)(6ml)
 硫乙醇酸盐流体培养基(中国兽药典)瓶装(50ml)
 
推 荐 产 品
 颗粒培养基
 显色培养基
 水样采集袋
 厌氧培养袋
 HBI微生物生化鉴定条
 一次性平板
 一次性运送培养基
 无菌均质袋
 瓷珠菌种保存管
 博检革兰氏阴性细菌鉴定系统
 基因工程大肠杆菌培养基
 
产品目录
开云online(中国) | 关于我们 | 网上商城 | 在线客服 | 联系我们
业务联系电话
   400-0532-596 0532-66087773
   0532-66087762 0532-81935169
邮箱:qdhbywg@vip.126.com
地址:青岛市城阳区锦汇路1号A2栋
产品技术咨询
  工作日(周一至周六8:00-18:00):
  18562658263 13176865511
  其它时段:13105190021
投诉与建议:13105190021 13006536294
(注:以上手机号均与微信同号)