中文版  |   English  |   加入收藏  |   客服热线:400-0532-596
海博微信公众号
海博天猫旗舰店
培养基
所在位置:产品中心-> 饮用水和水源水检验培养基-> MUG营养琼脂培养基(100g)

MUG营养琼脂培养基(100g)

英文名称:NA-MUG Agar Medium
产品货号:HB8558-1
产品规格:100g
产品价格:660元
保质期:三年
产品用途:用于滤膜法检测生活饮用水及其水源水中大肠埃希氏菌
备  注:

产品介绍:

用途:用于滤膜法检测生活饮用水及其水源水中大肠埃希氏菌(GB标准)。

保存条件:2-8℃,保质期三年

成分(g/L)

蛋白胨 5.0
牛肉浸粉 3.0
琼脂 15.0
MUG 0.1
pH值6.8±0.2 25℃

检验原理:

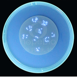
蛋白胨和牛肉浸粉提供氮源、维生素、氨基酸和碳源;琼脂是培养基的凝固剂;大肠埃希氏杆菌含有的葡萄糖醛酸苷酶作用于4-甲基伞形酮-β-D 葡萄糖醛酸苷(4-Methylumbellifery-β-D-Glucuronide 简称MUG)的β糖醛酸苷键,使其水解,释放的4-甲基伞形酮在366nm 紫外灯下产生蓝白色荧光。97%的大肠埃希氏杆菌、10%的沙门氏菌以及少量的志贺氏菌具有葡萄糖醛酸苷酶。

用法:

称取本品23.1g,加热搅拌溶解于1000ml蒸馏水中,121℃高压灭菌15分钟,备用。倾倒好的平板在4℃时可保存两周。

NA-MUG培养基微生物质控结果:






大肠埃希氏菌CMCC(B)44102

有荧光




大肠埃希氏菌ATCC25922

有荧光











大肠埃希氏菌ATCC8739

有荧光




鼠伤寒沙门氏菌ATCC14028

无荧光

MUG营养琼脂培养基微生物灵敏度试验:

按标签用法制备培养基,接种以下质控菌株,放置36±1℃需氧培养24-48小时。

注:回收率计算时,用TSA琼脂做对照培养基。

相关文章:

NA-MUG培养基的原理和使用方法 击查看


MUG营养琼脂同名产品推荐:

MUG营养琼脂培养基(100g)相关产品:

产品货号产品名称产品规格产品说明及用途
HB8569-3 MMO-MUG培养基
MM0-MUG Medium
100ml/支*10支 用于生活饮用水及其水源水中大肠菌群和大肠埃希氏菌的同时检测
HBPM0175-1 胆汁七叶苷琼脂(BEA)平板(9cm)
Bile Esculin Agar
9cm*10/包 用于肠球菌和肠道致病菌的分离培养
HBDP006 m-HPC肉汤管(塑料安瓿瓶即用型)
m-HPC Broth
2ml*50/盒 用于恢复各种类型水中发现的应激异养细菌,也适用于低计数的水样。
HB0262-1 卵黄琼脂培养基
Egg Yolk Agar Medium
250g 用于产气荚膜梭菌的卵磷脂酶试验(GB/T5750.12-2023 生活饮用水标准)
HB0175-1 胆汁七叶苷琼脂(BEA)
Bile Esculin Agar
250g 用于肠球菌和肠道致病菌的分离培养(GB/T5750.12-2023 生活饮用水标准)
HB0167-2 R2A液体培养基
R2A Liquid Medium
250g 用于饮用水中细菌的培养
HB0109 营养琼脂(NA)
Nutrient Agar
250g 用于一般细菌培养、转种、复壮和增菌等
HB0107 伊红美蓝琼脂(EMB)
Eosin-Methylene Blue Agar
250g 弱选择性培养基、用于分离肠道致病菌,特别是大肠杆菌(GB、SN标准)
HB0118 品红亚硫酸钠琼脂
Fuchsin Basic Sodium Sulfite Agar
250g 用于饮用水,水源水中总大肠菌群的选择性分离和确证(GB标准)
HB0105 EC肉汤
E.Coli Broth
250g 用于粪大肠菌群、大肠杆菌的测定(GB、SN标准)
HB8569-2 MMO-MUG培养基
MMO-MUG Medium
100g 用于生活饮用水及其水源水中大肠菌群和大肠埃希氏菌的同时检测
HB0154 MFC琼脂
MFC Agar
250g 用于生活饮用水及其水源水中粪大肠菌群测定(GB标准)
HB8569-1 MMO-MUG培养基
MMO-MUG Medium
250g 用于生活饮用水及其水源水中大肠菌群和大肠杆菌的检测
HB8559 EC-MUG培养基
EC-MUG Medium
250g 用于生活饮用水及其水源水中大肠埃希氏菌的检测
HB8558 MUG营养琼脂培养基
NA-MUG Agar Medium
250g 用于滤膜法检测生活饮用水及其水源水中大肠埃希氏菌(GB标准)
HB8559-1 EC-MUG培养基(100g)
EC-MUG Medium
100g 用于生活饮用水及其水源水中大肠埃希氏菌的检测
HBKP0107 伊红美蓝琼脂(EMB)(颗粒)
Eosin-Methylene Blue Agar
250g 弱选择性培养基,用于肠道菌的选择性分离
HB0119 乳糖蛋白胨培养液
Lactose Peptone Broth
250g 用于饮用水、水源水中总大肠菌群的测定
HB0138-1 远藤氏琼脂
Endo Agar
250g 用于滤膜法测定生活饮用水及其水源水中的总大肠菌群
HB8463 乳糖蛋白胨半固体培养基
Lactose Peptone Semisolid Medium
250g 用于饮用水和水源水中大肠菌群的测定试验
HBPT8559-1 EC-MUG培养基管(10ml)
EC-MUG Medium Tube
10ml*20支/盒 用于生活饮用水及其水源水中大肠埃希氏菌的检测
最 新 产 品
 硫柠胆蔗琼脂培养基(TCBS琼脂培养基)(医疗)
 乙型副伤寒沙门氏菌CMCC(B)50094(定量)
 Reduced YCFAG培养基
 弯曲菌运输半固体管(1.8ml)
 弯曲菌菌种保存管(1.5ml)
 ATCC培养基1685:NYC Ⅲ
 
推 荐 产 品
 颗粒培养基
 显色培养基
 水样采集袋
 厌氧培养袋
 HBI微生物生化鉴定条
 一次性平板
 一次性运送培养基
 无菌均质袋
 瓷珠菌种保存管
 博检革兰氏阴性细菌鉴定系统
 基因工程大肠杆菌培养基
 
产品目录
开云online(中国) | 关于我们 | 网上商城 | 在线客服 | 联系我们
业务联系电话
   400-0532-596 0532-66087773
   0532-66087762 0532-81935169
邮箱:qdhbywg@vip.126.com
地址:青岛市城阳区锦汇路1号A2栋
产品技术咨询
  工作日(周一至周六8:00-18:00):
  18562658263 13176865511
  其它时段:13105190021
投诉与建议:13105190021 13006536294
(注:以上手机号均与微信同号)