中文版  |   English  |   加入收藏  |   客服热线:400-0532-596
海博微信公众号
海博天猫旗舰店
培养基
所在位置:产品中心-> 质控菌株-> 福氏志贺氏菌ATCC12022

福氏志贺氏菌ATCC12022

英文名称:Shigella flexneri
产品货号:HBJZ092
产品规格:
产品价格:200元
保质期:三年
产品用途:主要用于阳性对照反应和培养基质量控制等实验
备  注:

产品介绍:

本品主要用于阳性对照反应和培养基质量控制等实验,广泛运用于食品、药品、化妆品等行业。

产品特色:

1.采用真空冷冻干燥技术,菌株质量稳定,保存时间长,2-8℃保存12个月,-80℃保存24个月以上。

2.配套菌株复苏液和复活说明书,菌株复活简单,方便。

3.附带完整菌株鉴定报告,安全,放心。

4.瓶身喷码菌种简称及菌号,清晰明了,防止混淆。

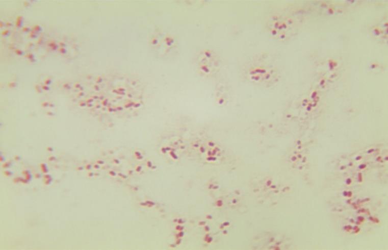
福氏志贺氏菌ATCC12022鉴定方法:

冻干菌种复苏接种至TSA平板。菌种活化后划线接种于XLD平板、志贺氏菌显色平板,同时进行半固体穿刺、TSI试管划线、革兰氏染色镜检、博检革兰氏阴性细菌鉴定系统生化检测及棉子糖发酵管。

福氏志贺氏菌ATCC12022鉴定结果:




XLD平板

粉红色菌落,半透明、光滑、湿润、圆形、边缘整齐

志贺氏菌显色平板

无色菌落

革兰氏染色镜检

革兰氏阴性杆菌



TSI试

K/A、不产气、不产硫化氢

博检革兰氏阴性细菌鉴定系统生化检测

福氏志贺氏菌或鲍氏志贺氏菌

半固体:无动力。

棉子糖发酵管:结果为阳性。

相关资料:

菌株复苏操作视频-实验操作视频-点击查看

青岛海博-关于菌种销售的声明  点击查看


福氏志贺氏菌ATCC12022相关产品:

产品货号产品名称产品规格产品说明及用途
HBJZ131-1 黑曲霉菌ATCC16404
主要用于阳性对照反应和培养基质量控制等实验
HBJZ134 枯草芽孢杆菌黑色变种ATCC9372
主要用于阳性对照反应和培养基质量控制等实验
HBJZ112-2 黑曲霉CMCC(F)98003(二代斜面)
主要用于阳性对照反应和培养基质量控制等实验
HBJZ069-3 大肠埃希氏菌CMCC(B)44102(二代斜面)
主要用于阳性对照反应和培养基质量控制等实验
HBJZ068-2 白色念珠菌CMCC(F)98001(二代斜面)
主要用于阳性对照反应和培养基质量控制等实验
HBJZ061-2 金黄色葡萄球菌CMCC(B)26003(二代斜面)
主要用于阳性对照反应和培养基质量控制等实验
HBJZ020-2 乙型副伤寒沙门氏菌CMCC(B)50094(二代斜面)
主要用于阳性对照反应和培养基质量控制等实验
HBJZ018-3 枯草芽孢杆菌CMCC(B)63501(二代斜面)
主要用于阳性对照反应和培养基质量控制等实验
HBJZ051-2 金黄色葡萄球菌ATCC6538(二代斜面)
主要用于阳性对照反应和培养基质量控制等实验
HBJZ067-2 铜绿假单胞菌CMCC(B)10104(二代斜面)
主要用于阳性对照反应和培养基质量控制等实验
HBJZ079-2 生孢梭菌CMCC(B)64941(二代斜面)
主要用于阳性对照反应和培养基质量控制等实验
HBJZ081-2 白色念球菌ATCC10231(二代斜面)
主要用于阳性对照反应和培养基质量控制等实验
HBJZ086-2 大肠埃希氏菌ATCC8739(二代斜面)
主要用于阳性对照反应和培养基质量控制等实验
HBJZ105-2 铜绿假单胞菌ATCC9027(二代斜面)
主要用于阳性对照反应和培养基质量控制等实验
HBJZ131-2 黑曲霉ATCC16404(二代斜面)
主要用于阳性对照反应和培养基质量控制等实验
HBJZDL061 金黄色葡萄球菌CMCC(B)26003(定量)
110-1100CFU/球*10/盒 该产品是一种含一定数量微生物的冻干品。作为定量的质量控制样本
HBJZDL069 大肠埃希氏菌CMCC(B)44102(定量)
110-1100CFU/球*10/盒 该产品是一种含一定数量微生物的冻干品。作为定量的质量控制样本
HBJZDL068 白色念珠菌CMCC(F)98001(定量)
110-1100CFU/球*10/盒 该产品是一种含一定数量微生物的冻干品。作为定量的质量控制样本
HBJZ003 鼠伤沙门氏菌ATCC14028
Salmonella typhimurium
主要用于阳性对照反应和培养基质量控制等实验
HBJZ087 大肠埃希氏菌ATCC25922
Escherichia coli
主要用于阳性对照反应和培养基质量控制等实验
HBJZ018 枯草芽孢杆菌CMCC63501
Bacillus subtilis
主要用于阳性对照反应和培养基质量控制等实验
HBJZ098 蜡样芽孢杆菌ATCC11778
Bacillus cereus
主要用于阳性对照反应和培养基质量控制等实验
HBJZ061 金黄色葡萄球菌CMCC26003
Staphylococcus aureus
主要用于阳性对照反应和培养基质量控制等实验
HBJZ067 铜绿假单胞菌CMCC10104
Pseudomonas aeruginosa
主要用于阳性对照反应和培养基质量控制等实验
HBJZ051 金黄色葡萄球菌ATCC6538
Staphylococcus aureus
主要用于阳性对照反应和培养基质量控制等实验
HBJZ091 粪肠球菌ATCC29212
Enterococcus faecalis
主要用于阳性对照反应和培养基质量控制等实验
HBJZ020 乙型副伤寒沙门氏菌CMCC50094
Samonella paratyphi B
主要用于阳性对照反应和培养基质量控制等实验
HBJZ105 铜绿假单胞菌ATCC9027
Pseudomonas aeruginosa
主要用于阳性对照反应和培养基质量控制等实验
HBJZ017 铜绿假单胞菌ATCC27853
Pseudomonas aeruginosa
主要用于阳性对照反应和培养基质量控制等实验
HBJZ069 大肠埃希氏菌CMCC44102
Escherichia coli
主要用于阳性对照反应和培养基质量控制等实验
HBJZ070 产气肠杆菌CMCC45103
Enterobacter aerogenesCMCC45103
主要用于阳性对照反应和培养基质量控制等实验
HBJZ120 溶藻弧菌CICC21664
V. alginolyticusCICC21664
主要用于阳性对照反应和培养基质量控制等实验
HBJZ119 金黄色葡萄球菌ATCC29213
Staphylococcus aureusATCC29213
主要用于阳性对照反应和培养基质量控制等实验
HBJZ118 都柏林沙门氏菌CICC21497
主要用于阳性对照反应和培养基质量控制等实验
HBJZ075 甲型副伤寒沙门氏菌CMCC(B)50093
主要用于阳性对照反应和培养基质量控制等实验
HBJZ072 表皮葡萄球菌CMCC(B)26069
Staphylococcus EpidermidisCMCC26069
主要用于阳性对照反应和培养基质量控制等实验
HBJZ076 痢疾志贺氏菌CMCC51252
Shigalla DysenteriaCMCC51252
主要用于阳性对照反应和培养基质量控制等实验
HBJZ063 肠炎沙门氏菌CMCC(B)50746
Salmonella enteritidisCMCC50746
主要用于阳性对照反应和培养基质量控制等实验
HBJZ107 阴沟肠杆菌ATCC23355
Enterobacter cloacaeATCC23355
主要用于阳性对照反应和培养基质量控制等实验
HBJZ085 创伤弧菌ATCC27562
Vibrio VulnificusATCC27562
主要用于阳性对照反应和培养基质量控制等实验
HBJZ007 小肠结肠炎耶尔森氏菌ATCC23715
Y.enterocoliticaATCC23715
主要用于阳性对照反应和培养基质量控制等实验
HBJZ121 河流弧菌CICC21612
VibriofluvialisCICC21612
主要用于阳性对照反应和培养基质量控制等实验
HBJZ082 阪崎肠杆菌ATCC29544
Enterobacter sakazakiiATCC29544
主要用于阳性对照反应和培养基质量控制等实验
HBJZ089 单增李斯特氏菌ATCC19114
Listeria monocytogenes ATCC19114
主要用于阳性对照反应和培养基质量控制等实验
HBJZ009 空肠弯曲菌CICC22936
Campylobacter jejuni CICC22936
主要用于阳性对照反应和培养基质量控制等实验
HBJZ066 植物乳杆菌CGMCC1.577
Lactobacillus plantarunCGMCC1.577
主要用于阳性对照反应和培养基质量控制等实验
HBJZ058 乙型溶血性链球菌CMCC32210
β-Hemolytic Sreptococcs CMCC32210
主要用于阳性对照反应和培养基质量控制等实验
HBJZ093 副溶血性弧菌ATCC17802
Vibrio Parahemolyticus ATCC17802
主要用于阳性对照反应和培养基质量控制等实验
HBJZ068 白色念珠菌CMCC(F)98001
Canidia Albicans CMCC(F)98001
主要用于阳性对照反应和培养基质量控制等实验
HBJZ081 白色念珠菌ATCC10231
Canidia Albicans ATCC10231
主要用于阳性对照反应和培养基质量控制等实验
HBJZ066 植物乳杆菌CGMCC1.557
主要用于阳性对照反应和培养基质量控制等实验
最 新 产 品
 TBX琼脂平板(9cm)
 含225ml磷酸盐缓冲液均质袋(可立式)
 PH7.0氯化钠-蛋白胨缓冲液瓶装(90ml)
 胰酪大豆胨液体培养基瓶装(200ml)
 微孔滤膜(无菌、MCE)
 白色念珠菌CMCC(F)98001(定量)
 
推 荐 产 品
 颗粒培养基
 显色培养基
 水样采集袋
 厌氧培养袋
 HBI微生物生化鉴定条
 一次性平板
 一次性运送培养基
 无菌均质袋
 瓷珠菌种保存管
 博检革兰氏阴性细菌鉴定系统
 基因工程大肠杆菌培养基
 
产品目录
开云online(中国) | 关于我们 | 网上商城 | 在线客服 | 联系我们
业务联系电话
   400-0532-596 0532-66087773
   0532-66087762 0532-81935169
邮箱:qdhbywg@vip.126.com
地址:青岛市城阳区锦汇路1号A2栋
产品技术咨询
  工作日(周一至周六8:00-18:00):
  18562658263 13176865511
  其它时段:13105190021
投诉与建议:13105190021 13006536294
(注:以上手机号均与微信同号)