

海博微信公众号
海博天猫旗舰店




前言
马尔尼菲篮状菌系一种主要侵犯单核巨噬系统的条件致病菌,是温度依赖性双相真菌,在25℃时呈菌丝相生长,培养基可见红色色素产生,37℃时呈酵母相生长,感染人或动物时以酵母相存在于宿主体内。其致病性与自身毒力因子、致病基因及宿主免疫等有关。
案例经过
患者,男,30岁。反复咳嗽4年余,近半个月来症状较前加重,咳白色粘痰、盗汗。3天前无明显诱因出现腹部胀痛,以剑突下、右上腹为主,为阵发性、疼痛不剧,放射至后背部,与活动无明显相关,伴恶心呕吐、发热乏力,检查示肝脾大、腹部淋巴结增多,为求进一步诊治,门诊以“腹痛查因”收住院。
实验室主要检查如下:

案例分析
检验科临检组工作人员发现患者血常规结果触犯复检规则,立即涂片镜检。同时查看生化、血凝、血常规指标明显异常,人类免疫缺陷病毒抗体和抗原(p24)>100 COI,梅毒螺旋体抗体89.32 COI,考虑患者感染艾滋病可能性大。
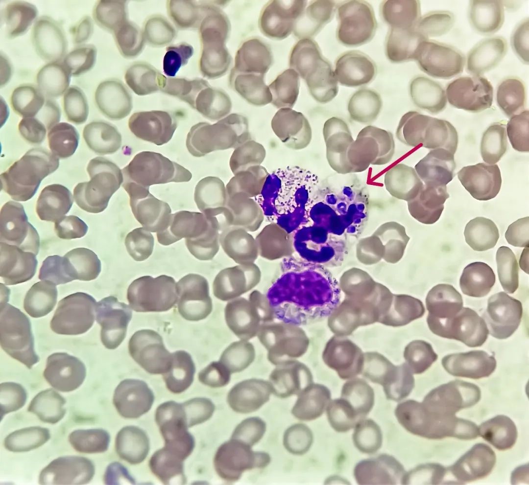
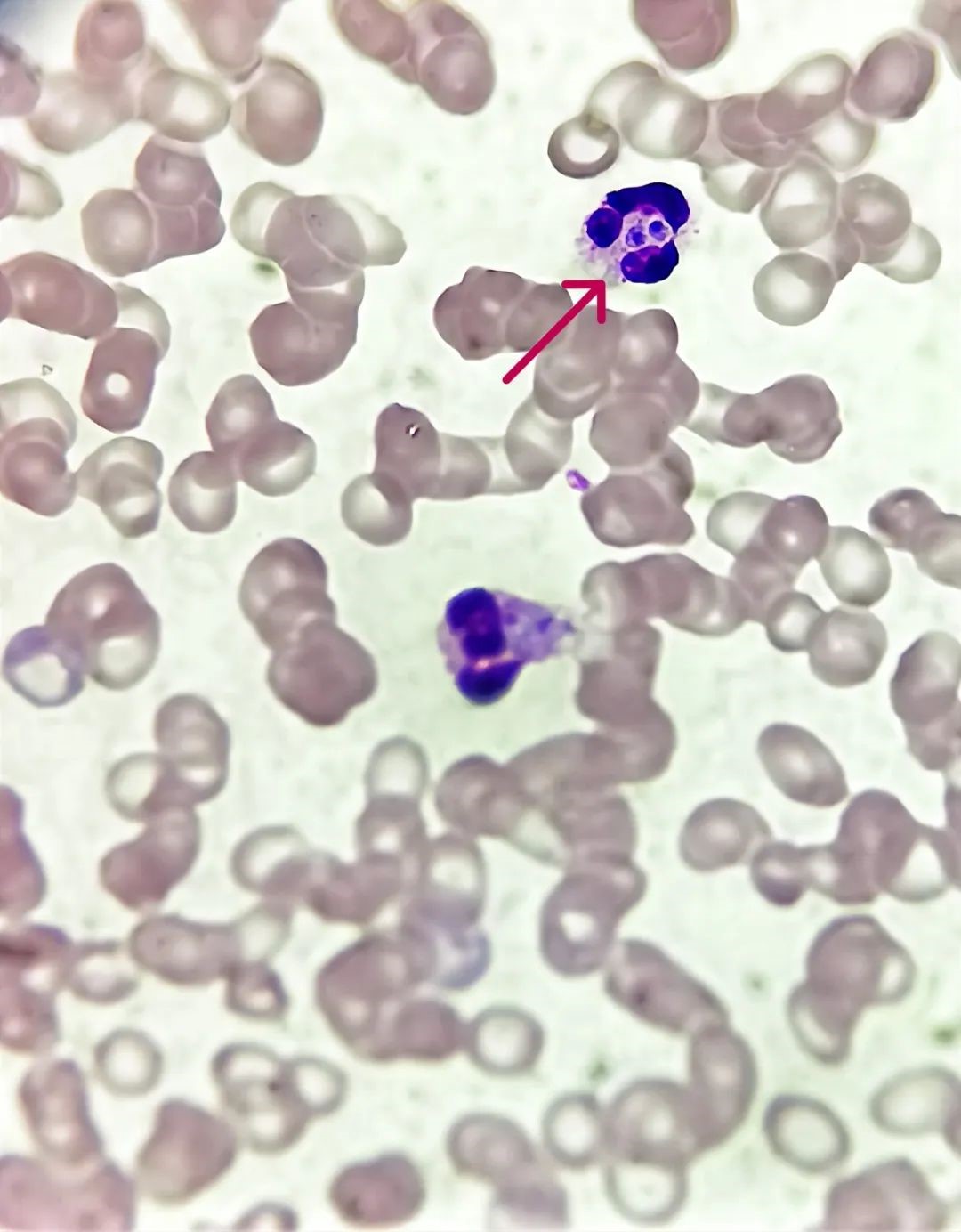
血涂片Wright-Giemsa染色后,经多名形态学有经验老师观察确认并结合患者病史情况,镜下箭头所指中性粒细胞吞噬的真菌孢子高度疑似“马尔尼菲篮状菌”。血涂片中马尔尼菲篮状菌孢子形态特征为:呈圆形或卵圆形,2-4μm大小,孢子着色不均、一端浓染,有时可见两头钝圆、中间有隔、直径3-5μm大小的腊肠孢子。
随即电话通知临床医师患者外周血涂片中检出高度疑似“马尔尼菲篮状菌”,需做血培养及鉴定,医师告知我们患者发热已抽血做培养,并对检验技师能从血涂片中发现病原菌、工作细致认真,表示肯定。
并同时提醒微生物检验组关注,血培养在抽取标本后第三天报阳,转接在沙氏平板中放置室温20℃下培养,后根据镜检结果、菌落特征鉴定为马尔尼菲篮状菌。
沙氏平板室温20℃培养第3天
蓝色箭头示红色色素(微生物组老师供图)
沙氏平板室温20℃培养第11天
沙氏平板室温20℃培养第11天,革兰染色
总结
马尔尼菲篮状菌好发于免疫力低下的患者,感染此菌的患者常会出现全身多系统的损害,包括肝、脾、肺的损伤,这些患者的病情往往非常严重、死亡率很高,超过90%的患者如果得不到及时的诊断和治疗就会有死亡的极大可能性,所以及时的诊断和报告临床以便开始早期的抗真菌治疗显得尤为重要。此案例中外周血涂片形态学发挥了关键性作用,一是结合病史及早给临床提供初步诊疗思路,二是对进一步检验、检查,微生物培养鉴别提供了方向。
专家点评
刘芳 主任技师 怀化市中医医院医学检验科主任
血细胞常规分析触动复检规则,血涂片显微镜下观察形态,是必需掌握和坚持的一项基本检验,在没有自动化推片复片设备辅助,坚持做到做好人工复片并不是一件容易的事。该案例能在做血常规血涂片复检时发现马尔尼菲篮状菌孢子,冰冻三尺非一日之寒,一是临检验组老师工作责任心强,工作耐心细致,愿意多化时间;二是具备扎实的专业知识临床思维能力及敏锐的观察力;三是坚持多看多练,积累了丰富的工作经验;四是检验各专业组沟通联系紧密,对异常结果互相提醒,互相印证提高判断正确性。
通过本案例又一次说明做好形态学检验的重要性,激励检验人炼就“火眼金睛”,方能在小小血涂片中发现大问题,为临床诊断治疗和进一步检验及早提供帮助。
参考文献:
[1]高世华,池细悌,李国玉,等.马尔尼菲青霉菌病的临床特点与实验室检测[].中国实验诊断学,2018,22(11):1185-4187.
[2] Hu Y , Zhang J , Li X , et al . Penicillium marmeffei infection : An emerging disease in mainland [ J ]. Mycopathologia ,2013,175(1-2):57-67.
[3]贺莉雅,覃静林,符淑莹,等.马尔尼菲蓝状菌病研究现状[J ].皮肤科学通报,2017,34(5):581-588.
[4]施伎蝉,蒋贤高,刘赛朵,等.艾滋病合并播散性马尔尼菲蓝状菌病25例临床特征分析J.中华医院感染学杂志,2019,29(24):3706-3709,3714.
[5]陶鹏飞,杨欣平,宋晓燕.误诊为结核性脑膜炎的马尔尼菲青霉菌脑膜炎2例分析[J ].中国误诊学杂志,2010,10(30):7338.
[6] JEREMY N D . AIDS - associated Penicillium marneffei infection of the central nervous system [ J ]. Clin Infect Dis ,2010,51(12):1458-1462.
[7] KAWILA R , CHAIWARITH R , SUPPARATPINYO K . Clinical and
laboratory characteristics of Penicilliosis marneffei among patients with and without HIV infection in Northern Thailand : a retrospective study [ J ]. BMC Infect Dis ,2013,13:464.
作者:怀化市中医医院 医学检验科 杨沁
提醒:本文章所有内容均来源网络,仅用于学习交流,若有侵权内容,请及时联系删除或修改,特此声明!
上一篇:常见的霉菌类型
下一篇:荚膜的相关概念
| 相关文章: | |
| 外周血培养基配制 | |
