

海博微信公众号
海博天猫旗舰店




革兰氏染色法
革兰氏染色法是细菌学中广泛使用的一种鉴别染色法,1884年由丹麦医师Gram创立。
细菌先经碱性染料结晶染色,而经碘液媒染后,用酒精脱色,在一定条件下有的细菌此色不被脱去,有的可被脱去,因此可把细菌分为两大类,前者叫做革兰氏阳性菌(G+),后者为革兰氏阴性菌(G—)。为观察方便,脱色后再用一种红色染料如碱性蕃红等进行复染。阳性菌仍带紫色,阴性菌则被染上红色。有芽胞的杆菌和绝大多数和球菌,以及所有的放线菌和真菌都呈革兰氏正反应;弧菌,螺旋体和大多数致病性的无芽胞杆菌都呈现负反应。
革兰氏阳性菌和革兰氏阴性菌在化学组成和生理性质上有很多差别,染色反应不一样。现在一般认为革兰氏阳性菌体内含有特殊的核蛋白质镁盐与多糖的复合物,它与碘和结晶紫的复合物结合很牢,不易脱色,阴性菌复合物结合程度底,吸附染料差,易脱色,这是染色反应的主要依据。 另外,阳性菌菌体等电点较阴性菌为低,在相同PH条件下进行染色,阳性菌吸附碱性染料很多,因此不易脱去,阴性菌则相反。所以染色时的条件要严格控制。例如,在强碱的条件下进行染色,两类菌吸附碱性染料都多,都可呈正反应;PH很低时,则可都呈负反应。此外,两类菌的细胞壁等对结晶紫—碘复合物的通透性也不一致,阳性菌透性小,故不易被脱色,阴性菌透性大,易脱色。所以脱色时间,脱色方法也应严格控制。 革兰氏染色法一般包括初染、媒染、脱色、复染等四个步骤,具体操作方法是:
1)涂片固定。
2)草酸铵结晶紫染1分钟。
3)自来水冲洗。
4)加碘液覆盖涂面染1分钟。
5)水洗,用吸水纸吸去水分。
6)加95%酒精数滴,并轻轻摇动进行脱色,30秒后水洗,吸去水分。
7)蕃红梁色液(稀)染10秒钟后,自来水冲洗。干燥,镜检。
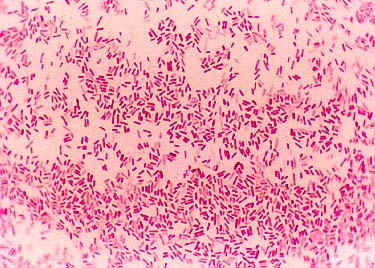
· 染色的结果:革兰氏阳性菌,呈紫色;革兰氏阴性菌,呈红色。
下面是革兰氏阳性杆菌和革兰氏阴性杆菌:

· 革兰氏染色过程中应注意的事项:
1)接种环接的菌不能太多,防止涂片太厚,不易脱色。
2)干燥(固定):要在酒精灯的高处微微加热,使水分蒸发,切勿紧靠火焰或加热时间过长,防止菌体烧焦变形。
· 固定的目的:
a.杀死微生物,固定细胞结构;
b.保证菌体能更牢固粘附在载玻片上,防止标本被水冲洗掉;
c.改变染料对细胞的通透性,因为死的原生质比活的原生质易于脱色。
(2).细菌结构
A、基本结构及功能
①细胞壁:细胞最外层。赋予细胞特定形态,保护细胞不受高压和机械压力的破坏。化学成分主要由粘肽(共有的)、蛋白质、脂类等组成。
②细胞膜作为渗透屏障,选择性渗透细菌体内外物质的交换,维持新陈代谢、参与呼吸作用。化学成分基本相同,由磷脂质、蛋白质、碳水化合物组成。
③细胞浆(质):是细胞膜包围着的部分,是细菌的基础物质、内在环境,是细菌合成蛋白质、核酸的场所。基础成分是水、蛋白质、核酸、脂类
④极核:位于细胞浆内,控制着细胞新陈代谢、生长繁殖、细菌的遗传变异信息。
B、特殊结构及功能
①荚膜:某些在细胞壁外包一层粘性物质,相对稳定的附于细胞壁外。具有保护、能源供应的作用。化学组成主要是多糖或多肽类。
②鞭毛:菌体内长出的细长丝状物细菌的运动器官。化学成分主要是蛋白质,少量糖类、脂类。
③纤毛:比鞭毛更细、短、直、硬,数量更多的毛发状细物。
功能:获得营养。由蛋白质亚单位组成。
④芽孢:某些细菌在生活的一定阶段,能在体内形成一个特殊的休眠体。
l 孢子的形成
活菌
核细胞聚集(在恶劣生长条件下)
核周围有一层厚臂形成(孢子)
细胞分解,孢子释出
孢子释出
适宜生长条件下,孢子的膜胀破,新细胞形成。
l 杀灭芽孢条件:121℃ 、20分钟
160℃ 、2小时
判断灭菌是否彻底,一般以芽孢是否被杀灭作为标准。
附:芽孢染色法
染液的配制:
a.石碳酸品红溶液:
碱性品红 0.3 g
95%体积分数的乙醇 10ml
50g/L酚水溶液 90 ml
将品红溶解于乙醇中,然后与酚溶液混合
b.碱性美兰溶液
c.95%乙醇
染色方法:
a.将有芽孢的细菌涂片,干燥后热固定;
b.加石炭酸品红溶液,弱火加热,冒热气约5分钟,冷却后水洗;
c.用95%的乙醇脱色2分钟,水洗;
d.用碱性美兰溶液复染0.5分钟,水洗;
e.待干,镜检。
结果观察:芽孢呈红色,菌体呈蓝色。
上一篇:实验室玻璃仪器的注意事项
下一篇:微生物挑战试验
